Klinische Fallbeispiele
Um Ihnen einen Überblick über die interdisziplinäre Arbeitsweise und Ausrichtung des Zentrums zu geben, haben wir Ihnen im Folgenden zwei Fallbeispiele aufbereitet.
2. Die Arbeitsweise des Zentrums – Kurzskizze eines klinischen Falls
Die Ausgangssituation (Abb.1, Abb.2, Abb.3 ) zeigt einen im Oberkiefer zahnlosen (Abb.4) und im Unterkiefer mit zwei Restzähnen bezahnten Patienten (Abb.5). Der Patient leidet sehr stark unter dem fehlenden Halt der nicht mehr richtig sitzenden Oberkiefer- und Unterkieferprothesen. Diese führen für den Patienten zu einer stark verminderten Lebensqualität, da sowohl die Essensaufnahme, als auch die soziale Interaktion mit den Mitmenschen stark beeinträchtigt ist. Aufgrund des stark zurückgegangenen Knochenniveaus und dem damit verbundenen schlechten Prothesenlager, ist eine wirkliche Verbesserung der Gesamtsituation nur über zusätzliche Befestigung der Prothesen über im Knochen fixierte Zahnimplantate denkbar. Aufgrund des starken Knochenrückgangs sowohl im Ober- als auch im Unterkiefer, ist das Einbringen von Titan-Zahnimplantaten zur Stabilisierung der Prothesen nicht ohne aufwändigen Knochenaufbau möglich. Hierzu ist der Knochen den man innerhalb der Mundhöhle gewinnen kann nicht ausreichend und so bietet sich die Knochenentnahme im Bereich des Beckenkamms an.
Das interdisziplinäre Implantatboard – der Behandlungablauf
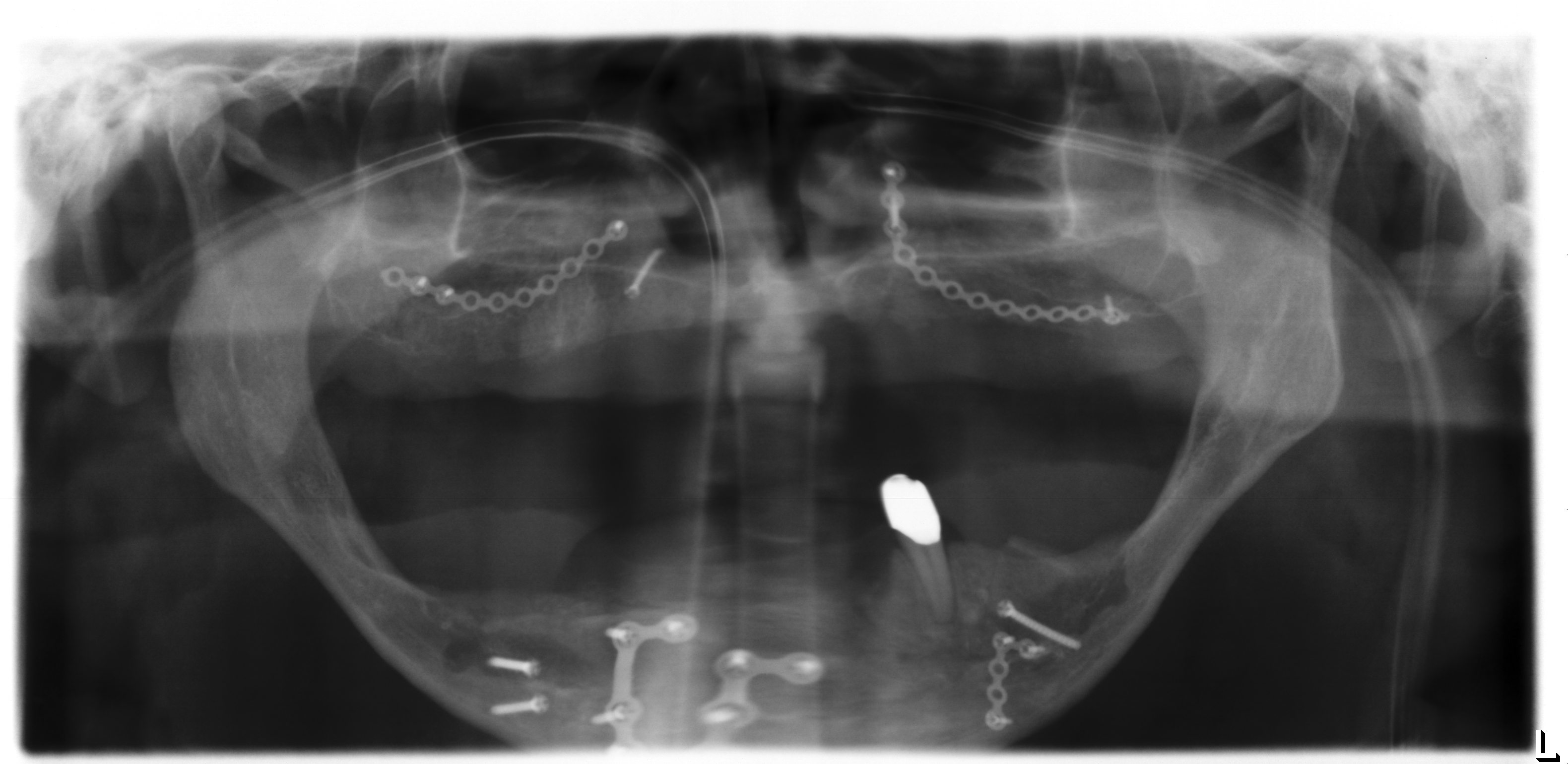
Für derart komplexe Fälle ist das interdisziplinäre Zentrum für Zahnärztliche Implantologie der Ansprechpartner: Der Patient wird in einer interdisziplinären Sprechstunde vorgestellt und die Planung des Patienten in dem interdisziplinär geleiteten Implanatboard erstellt. Anschließend erfolgt der Knochenaufbau in ITN. Dabei werden die angelagerten Knochenstücke über sogenannte Osteosyntheseplatten in den Bereichen fixiert, an denen später die Implantate gesetzt werden sollen (Abb.6). Zeitgleich erfolgte im Unterkieferbereich eine Nervverlagerung des Unterkiefernervs und im Oberkiefer eine Knochenaufbau im Bereich der Kieferhöhlen (sogenannter „Sinuslift“) (Abb.7). Nur durch diese ausgedehnten Augmentationsmaßnahmen ist ein späteres Einbringen der Implantate sinnvoll möglich. Vier Monate später erfolgt die Entfernung der Osteosyntheseplatten (Abb.8) in Kombination mit dem Setzen der Implantate (Abb.9). Die genaue Position der Implantate wird dabei über eine individuell hergestellte Schablone (sogenannte Bohrschablone) festgelegt (Abb.10).
Damit stellt man sicher, dass die Implantate hinterher auch an der richtigen Position stehen und den späteren Zahnersatz optimal unterstützen (Abb.11). Abschließend erfolgt die prothetische Versorgung des Patienten. Dazu werden die Implantate im Mund abgeformt (Abb.12) und mit Hilfe einer „Abformung“ auf ein Gipsmodell übertragen (Abb.13). Auf diesem wird anschließend die prothetische Versorgung hergestellt (Abb.14). In diesem speziellen Fall wurde für den Oberkiefer eine steggetragene Prothese (Abb.15, Abb.16) hergestellt. Dieser wird dann auf den Implantaten im Mund verschraubt (Abb.15) und darüber eine herausnehmbare Prothese (Abb.17) verankert (Abb.16).
Diese sehr aufwändigen prothetischen Arbeiten sind starr mit den Implantaten verbunden, so dass der Patient wieder das Gefühl von „echten und feste Zähne“ hat (Abb.21, Abb.22). Dennoch sind sie zur Reinigung der Implantate durch den Patienten herausnehmbar. Abbildung 23 zeigt die mit Steg bzw. Teleskopen versorgten Implantate. Details zur den Verankerungen der Prothesen (siehe Abb.24, Abb.25, Abb.26).
































