Wirbelsäulenchirurgie – Spinale Neurochirurgie und Robotik
Klinisches Spektrum
Ambulante Beratung
- Die Neurochirurgie berät im Rahmen der Wirbelsäulensprechstunde Patienten ausführlich und individuell zu allen Erkrankungen der Wirbelsäule und des Rückenmarks
- Wir leiten zeitnah alle nötigen Schritte zur weiteren Abklärung in die Wege und klären die Patienten ausführlich über die möglichen Therapien auf
- Unser Ziel ist es, die beste und am besten passende, aber gleichzeitig risikoärmste Therapie zu finden.
- Ebenfalls besteht bei uns immer die Möglichkeit zur Einholung einer Zweitmeinung.
Nicht operative, konservative Behandlung
- Facettengelenkbehandlungen und Nervenbehandlungen (PRT), in Zusammenarbeit mit der Klinik für Diagnostische und Interventionelle Neuroradiologie
- Multimodale und individuelle physikalische Therapiekonzepte (stationär/ambulant), in Zusammenarbeit mit dem Zentralbereich Physiotherapie am UKA
Operative Behandlung
- Mikrochirurgische und minimalinvasive/endoskopische Operationen bei Bandscheibenvorfällen und Verengungen des Nervenkanals (Spinalkanalstenose) an der Hals-, Brust- und Lendenwirbelsäule
- Mikrochirurgische Operationen von Tumoren innerhalb der Rückenmarkshaut (z.B. Meningeom), des Rückenmarkes (z.B. Ependymom) sowie Gefäßprozessen mit neurophysiologischem Monitoring an allen Wirbelsäulenabschnitten
- Ersatz von erkrankten Bandscheiben durch Bandscheibenprothesen im Bereich der Halswirbelsäule
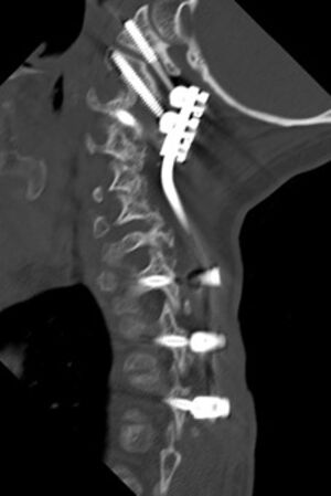
- CT-navigierte (AIRO©) Implantationen:
- Dynamische, nicht versteifende Stabilisierung an der Lendenwirbelsäule
- Versteifungsoperationen bei Instabilitäten und Fehlstellungen wie degenerativer Skoliose, Wirbelgleiten, Myelopathie
- Versteifungsoperationen bei Entzündungen an den Wirbelkörpern und den Bandscheibenfächern (Spondylitis und Spondylodiszitis)
- Stabilisierung von Wirbelbrüchen (Frakturen) bei Osteoporose mit Knochenzement (Vertebroplastie) der Brust- und Lendenwirbelsäule
- Stabilisierungs- und Dekompressionsoperationen bei Rheuma, Brüchen und Verletzungen (Wirbelbrüche, Wirbelverrenkungen)
- Schmerzstillende stabilisierende Maßnahmen und Versteifungsoperationen bei primärem sowie sekundären Wirbelsäulentumoren (Metastasen)
- Spezielle Therapieformen bei Arnold Chiari Malformation, Rückenmarksmißbildungen und Syringomyelie
Seit 2017 führen wir unsere Stabilisierungs- und Versteifungsoperationen mit einem intraoperativen CT (s.o. AIRO©, Fa. Brainlab) durch. Diese intraoperative Computertomographie liefert direkt im Operationssaal während des Eingriffs hochauflösende Bilder von der Wirbelsäule. Zusammen mit einer Navigationssoftware wird ein dreidimensionaler Plan der entsprechenden Körperregion erzeugt. Mit Hilfe der Bildgebung können wir die notwendigen OP-Schritte plangerecht umsetzen und z.B. Implantate mit sehr hoher Präzision einsetzen. Gerade bei komplizierten Eingriffen an der Wirbelsäule hilft die neue OP-Technik, Patienten sicher und schonend zu therapieren. Die intraoperative Bildgebung, direkt im OP, erlaubt komplexe Operationen genauer und sicherer durchzuführen und dem Operateur noch während der Operation das Ergebnis zu überprüfen und bei Bedarf zu optimieren. Belastende Folgeoperationen sind so deutlich seltener und die Behandlungsqualität und Sicherheit für Patienten dadurch erheblich verbessert.
Sektionsleiter
Univ. Prof. Dr. med. Christian Blume, Leitender Oberarzt und Sektionsleiter
Basis Zertifikat der Deutschen Wirbelsäulengesellschaft
Master Zertifikat der Deutschen Wirbelsäulengesellschaft
Zusatzbezeichnung Neurochirurgische Intensivmedizin
Personenzertifikat Spezielle Neurochirurgische Onkologie
cblumeukaachende
Sekretariat
Denise Arcidiacone
Bianca Elas
Tel.: 0241 80-88578
Fax: 0241 80-82420
darcidiaconeukaachende
belasukaachende






